Cas Clinique

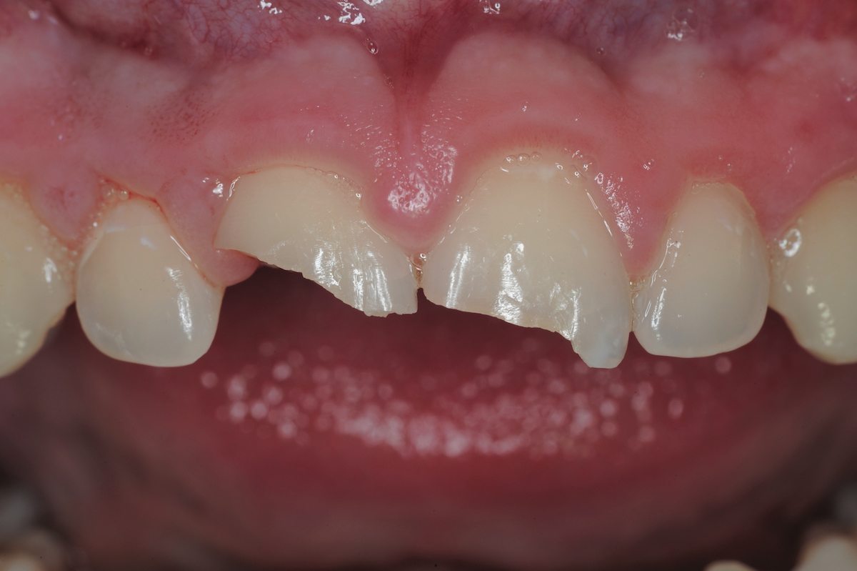
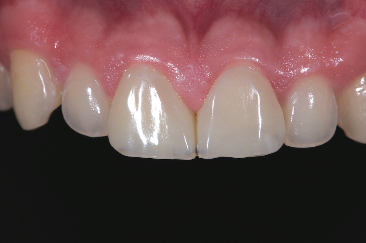
El pacient presenta una factura de les dos incisius centrals superios amb
exposició dels nervis. Aquesta lesió implica la desvitalització i la reconstrucció de les dues dents.

Ubicación
Av. Rocafort, 30
AD600 St. Julià de Lòria
Principat d’Andorra
CONTACTO
Cette adresse e-mail est protégée contre les robots spammeurs. Vous devez activer le JavaScript pour la visualiser.
(+376) 844 500
Horarios de apertura
  • LU - VIE
    8h – 20h
  • SA - DO
    Cerado
Ubicación
Av. Rocafort, 30
AD600 St. Julià de Lòria
Principat d’Andorra
Horarios de apertura
  • LU - VIE
    8h – 20h
  • SA - DO
    Cerado
CONTACTO
Cette adresse e-mail est protégée contre les robots spammeurs. Vous devez activer le JavaScript pour la visualiser.
(+376) 844 500