Cas Clinique

Estetica Anterior

Cas Quijada

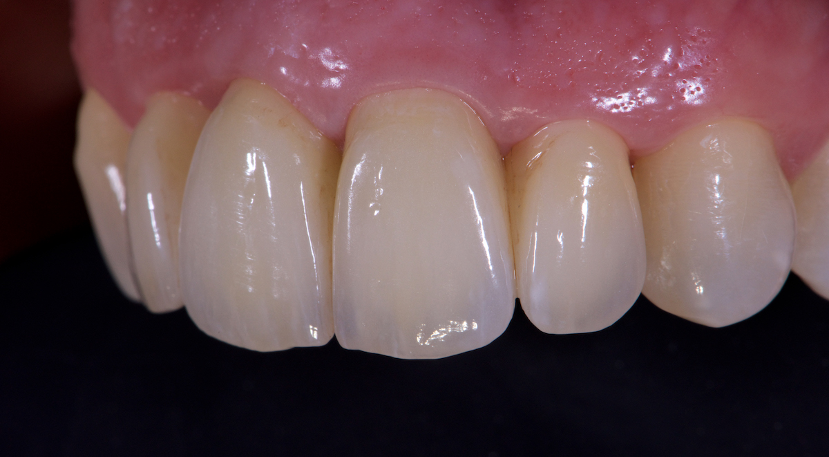
La pacient presenta una restauració molt important de compòsit a les incisives centrals des vitalitzades, que s'havien fracturat feia olts anys.

A part d'aquest problema estètic presenta un problema funcional, la pacient recalca que les quatre insisives es desplacen capendavanti presenten una mobilitat significativa, nota que l'espai entre les dents s'amplia.

Aquesta migració dels incisius és la consecuència d'una pèrdua òssia, associada a un problema funcional (degluticiò infantil).

Ubicación
Av. Rocafort, 30
AD600 St. Julià de Lòria
Principat d’Andorra
CONTACTO
Cette adresse e-mail est protégée contre les robots spammeurs. Vous devez activer le JavaScript pour la visualiser.
(+376) 844 500
Horarios de apertura
  • LU - VIE
    8h – 20h
  • SA - DO
    Cerado
Ubicación
Av. Rocafort, 30
AD600 St. Julià de Lòria
Principat d’Andorra
Horarios de apertura
  • LU - VIE
    8h – 20h
  • SA - DO
    Cerado
CONTACTO
Cette adresse e-mail est protégée contre les robots spammeurs. Vous devez activer le JavaScript pour la visualiser.
(+376) 844 500