Cas Clinique

Cas Clinique

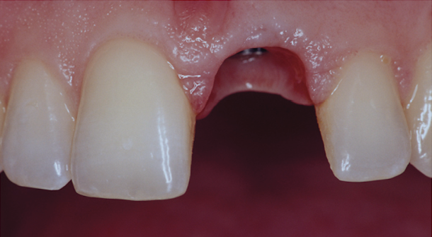
Estètica Anterior

Reemplaçament d'un incisiu central unitari amb una ceràmica implanto-suportada.

El pacient va perdre la dent degut a un traumatisme que va ocsionar una pérdua d'os i una modificaciò de la geniva al nivell de la zona desdentada. 

Inicialment es presenta a la clinica amb una pròtesi temporal suportada per les dents adjacents.

Ubicación
Av. Rocafort, 30
AD600 St. Julià de Lòria
Principat d’Andorra
CONTACTO
Cette adresse e-mail est protégée contre les robots spammeurs. Vous devez activer le JavaScript pour la visualiser.
(+376) 844 500
Horarios de apertura
  • LU - VIE
    8h – 20h
  • SA - DO
    Cerado
Ubicación
Av. Rocafort, 30
AD600 St. Julià de Lòria
Principat d’Andorra
Horarios de apertura
  • LU - VIE
    8h – 20h
  • SA - DO
    Cerado
CONTACTO
Cette adresse e-mail est protégée contre les robots spammeurs. Vous devez activer le JavaScript pour la visualiser.
(+376) 844 500